Urticarial syndromes

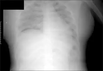
Systemic capillary leak syndrome under general anesthesia-Post operative chest radiography shows pulmonary edema bilaterally
There are several distinct urticarial syndromes including:[1]
See also
References
- ↑ Rapini, Ronald P.; Bolognia, Jean L.; Jorizzo, Joseph L. (2007). Dermatology: 2-Volume Set. St. Louis: Mosby. p. 269. ISBN 1-4160-2999-0.
This article is issued from Offline. The text is licensed under Creative Commons - Attribution - Sharealike. Additional terms may apply for the media files.